What does it do?
How does it do it?
The answers can be found in our question band here.
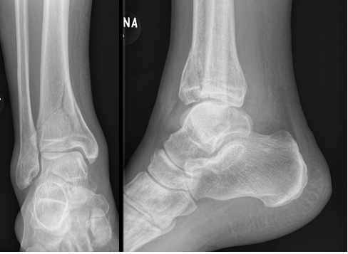
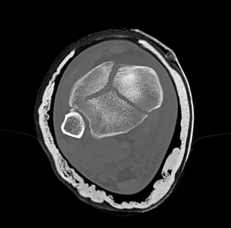
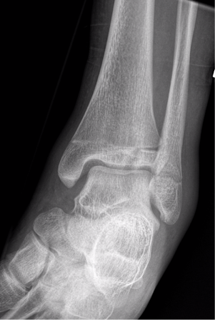
Welcome to the FRCSOrtho site. Each week we release a case from our question bank to help you prepare for your FRCS Tr and Orth exam. The question bank continues to grow and we now have over 350 questions. Please also look at our sample questions.
We hope you have enjoyed this question. Please register to FRCS Tr & Orth Viva Question Bank Access to discover the answer to these questions, and many more questions. We hope you enjoy the largest FRCS Tr & Orth question bank and we wish you every success in your FRCS Orth exam!
Good Luck!
FRCS Ortho Team




